Cover Story At the Head of the Class Your Profession, Your Role, Your Future November 14, 2024 35 min read
From the Editor Odyssey Diode Lasers Clinical Guides By Gerard Kugel, DMD October 01, 2005 3 min read
Esthetics Esthetics: Changing Tooth Position with Orthodontics or Restorative Dentistry-Both Perspectives By Paul R. Chalifoux, DDS, Steve Noxon, DMD October 01, 2005 17 min read
Endodontics Endodontics: Considerations for Ensuring Complete Anesthesia During Endodontic Care October 01, 2005 15 min read
Implants Implant Dentistry: The Maxillary Central Incisor Implant-A Guide for Ideal Esthetic Implant Placement By Michael K. Sonick, DMD October 01, 2005 10 min read
Restorative Restorative Dentistry: Developing Posterior Composite Restorations-A Biomechanical Concept By Douglas A. Terry, DDS, Karl F. Leinfelder, DDS October 01, 2005 16 min read
Periodontics Periodontics: Treatment of the Class V Lesion-Crown Lengthening or Crown Shortening? By Dimitrios Drakos, DDS, Philip J. Koralishn, DDS, Raymond Martin, DDS, Timothy J. Hempton, DDS October 01, 2005 16 min read
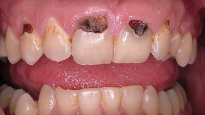
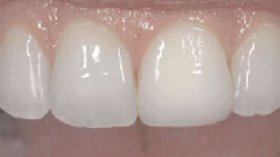
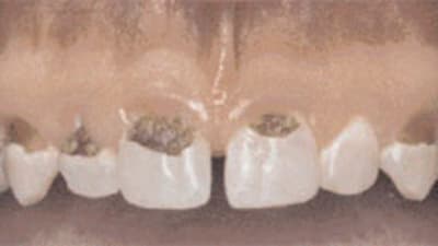
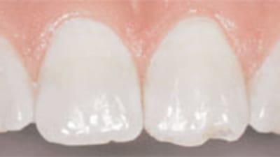
Departments Cervical Caries - Treatment Options Based Upon Etiology of the Lesion By Howard E. Strassler, DDS,DMD,DMD October 01, 2005 6 min read
Departments Clinical Materials Review: Impression Material Basics By John O. Burgess, DDS October 01, 2005 16 min read
Departments Lab Talk: Communication-The Ultimate in Synergy By Pinhas Adar, CDTMDT October 01, 2005 9 min read
Departments Achieving Clinical Success with Provisionals By Douglas A. Terry, DDS October 01, 2005 9 min read
Industry News University Spotlight: Tufts University School of Dental Medicine October 01, 2005 7 min read