Cover Story Feature Stories Restorative Direct Restorative Indirect Airway Management in Restorative Dentistry By Janene Mecca November 18, 2024 15 min read
Endodontics Single- Vs Multiple-Visit Root Canal Therapy By Brooke Blicher, DMD, Jarshen Lin, BDS, DDS, Rebekah Lucier Pryles, DMD, Shraya Sharma, DMD June 01, 2019 9 min read
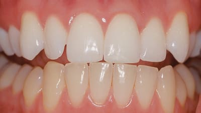
Restorative Restorative Direct Determining Appropriate Fees for Tooth Bleaching By Jacqueline Delash, DMD, Van B. Haywood, DMD June 01, 2019 16 min read
News & Notes Teeth in Medicare Movement Gains Momentum By Michael C. Alfano, DMD June 01, 2019 3 min read
Continuing Education CE Articles Infection Control Improving the Infection Prevention Program By Pamela Maragliano-Muniz, DMDDMD June 01, 2019
Perspective Restorative Direct Being a Knife Doctor and a Pill Doctor By Joel H. Berg, DDS June 01, 2019 5 min read
Practice Insider A Handpiece With Unparalleled Durability, Precision, and Safety By Neal Patel, DDS June 01, 2019 2 min read
Peer to Peer Restorative Direct A Cost-Effective Alternative to Alginate Impression Material By Shannon Pace Brinker, CDACDA June 01, 2019 3 min read
Product Talk High Torque, Low Weight, and True Balance By Joyce L. Bassett, DDSDDS June 01, 2019 4 min read