Cover Story Feature Stories Practice Management The Clinician & the Laboratory By Daniel Alter, MSc, MDT, CDT November 18, 2024 18 min read
Continuing Education CE Articles Pain Management Dexamethasone By Jason H. Goodchild, DMD, Mark Donaldson, BSP, ACPR, PharmD November 01, 2019
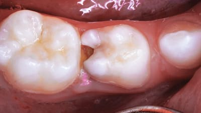
Restorative Restorative Direct Diagnosis and Treatment Planning Creating Predictable Composite Contacts By Parag R. Kachalia, DDS November 01, 2019 10 min read
Pediatrics Pediatric Dentistry Restorative Indirect Zirconia Crowns for Primary Molars By Kevin J. Donly, DDS, Theodore P. Croll, DDS November 01, 2019 7 min read
Strategy Practice Management Understanding Digital Workflow By Daniel G. Butterman, DDS November 01, 2019 5 min read
Corporate Profile Diagnosis and Treatment Planning Simplifying Everything From Diagnostics to Treatment November 01, 2019 3 min read
Clinical Briefs Restorative Indirect Periodontics Gingival Retraction and Bacterial Reduction Therapy By Stephanie Pajot, RDH, Timothy Kosinski, DDS November 01, 2019 6 min read
Clinical Briefs Restorative Indirect Restoring Congenitally Missing Teeth in the Esthetic Zone By Jonathan L. Ferencz, DDS November 01, 2019 5 min read
Focus On Improving Communication in Impression Taking By Thomas Tinkner, DDS November 01, 2019 5 min read
Practice Insider Materials Consistently Achieve Hemostasis By Ryan Sellinger, DMD November 01, 2019 2 min read
Practice Insider Materials Reliable Impressions With Exquisite Detail By Lee Ann Brady, DMD November 01, 2019 2 min read
Peer to Peer Restorative Direct Electric Handpiece Delivers Ergonomic Precision By Joseph Blaes, DDS November 01, 2019 4 min read
Peer to Peer Minimizing Follow-Up Chairtime for Sleep Dentistry By Ryan O'Neill, DMD November 01, 2019 3 min read
Peer to Peer Restorative Direct A Truly Universal Composite for All Restorative Needs By Jeffrey W. Horowitz, DMD November 01, 2019 3 min read
Peer to Peer Restorative Direct One Composite for All Shades By Doug Lambert, DDS November 01, 2019 3 min read
Web Exclusive Rehabilitating an Edentulous Lower Anterior Ridge Segment By Daniel H. De Tolla, DDS November 01, 2019 10 min read