Cover Story Feature Stories Restorative Indirect Materials The Perfect Match By Sefira Fialkoff November 18, 2024 16 min read
Continuing Education Infection Control Quality Control and Monitoring of Vaccines By John A. Molinari, PhD March 01, 2020
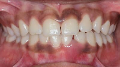
Restorative Restorative Indirect Prosthodontics Minimal Preparation Veneers By Zachary S. Sisler, DDS March 01, 2020 12 min read
Periodontics Implantology Periodontics Treatment of Localized Aggressive Periodontitis March 01, 2020 10 min read
Strategy Practice Management Boost Your Practice to the Next Level By Richard P. Gangwisch, DDS March 01, 2020 7 min read
Roundtable CAD | CAM Roundtable Advances in CAD/CAM Dentistry By Clint Stevens, DDS, Valerie McMillan, DDS March 01, 2020 3 min read
Product Talk Pain Management A Positive Patient Experience With Anesthetic Delivery By Dean E. Kois, DMD March 01, 2020
Product Talk CAD | CAM Flexibility and Control for Better Chairside Outcomes By Clint Stevens, DDS March 01, 2020
Product Talk Restorative Direct Bioactive Benefits in a Self-Adhesive Composite By Chad C. Duplantis, DDS March 01, 2020