Cover Story Feature Stories CAD | CAM Built on the Basics By Jennifer Vishnevsky November 18, 2024 14 min read
Web Exclusive Practice Management Eco-Friendly Dentistry By Mehmood Asghar, BDS September 01, 2021 7 min read
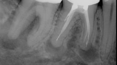
Continuing Education CE Articles Endodontics Materials Evolution and Endodontic Applications of Bioceramics By Brooke Blicher, DMD, Jarshen Lin, BDS, DDS, Rebekah Lucier Pryles, DMD, Ruchika Agrawal September 01, 2021
Periodontics Periodontics Diagnosis and Treatment Planning Periodontal Regeneration Therapy for Compromised Anterior Teeth September 01, 2021 8 min read
Restorative Restorative Indirect Occlusion Treating Anterior Wear With Composite Veneers By Zachary S. Sisler, DDS September 01, 2021 2 min read
Strategy Practice Management The Dynamic Duo of Case Acceptance By Margaret I. Scarlett, DMD September 01, 2021 7 min read
Roundtable Orthodontics The Impact of Aligner Therapy By Diana Batoon, DMD, Payam Ataii, DMD, Robert Lowe, DDS September 01, 2021 3 min read
Focus On CAD | CAM Digital Imaging Advanced Technology Makes Intraoral Scanning Easy By Richard Rosenblatt, DMD September 01, 2021 4 min read
Clinical Briefs CAD | CAM Prosthodontics Fabricating New Dentures From Existing Ones By Rami Ammoun, DDS September 01, 2021 6 min read
Clinical Briefs Restorative Direct Materials Amalgam Replacement Using a Universal Composite By Joseph G. Willardsen, DDS September 01, 2021 6 min read
Peer to Peer CAD | CAM All Digital, Implant-Supported Hybrid Prostheses September 01, 2021 4 min read
Peer to Peer CAD | CAM Make Starting Digital Dentistry Easy and Affordable By Karen Nation, DMD September 01, 2021 3 min read