Cover Story Perspectives on Dental Education Meeting the rapidly elevating standard of care September 02, 2025 2 min read
Pediatrics Pediatric Dentistry Laser Frenuloplasty for Nursing Infants By John Blaich, DMD, Adeeti S. Mishra Correcting maxillary anterior lip ties with greater predictability and less discomfort September 01, 2025 10 min read
Implants Implantology CAD | CAM Digitally Planned, Fully Guided Implant Placement By Katya Archambault, DMD CBCT facilitates comprehensive diagnosis and treatment September 01, 2025 5 min read
Continuing Education Periodontics CE Articles The Link Between Periodontitis and Cancer By Layal Bou Semaan, DDS, MSc, Matthew Litz, DMD, MS, Maria L. Geisinger, DDS, MS Exploring the connections September 01, 2025
Strategy Business | Practice Management How to Get Your Website Noticed By Richard P. Gangwisch, DDS The dos and don’ts of search engine optimization September 01, 2025 7 min read
Perspective From Stage Play to Gameplay By Gina Mancini, DMD From Stage Play to Gameplay September 01, 2025 4 min read
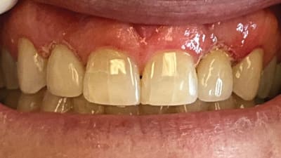
Clinical Briefs Restorative Materials Minimally Invasive Veneers for Minor Esthetic Corrections By Gary Radz, DDS Selection of a cement with an amine-free chemistry that enhances color stability enables predictable and efficient outcomes September 01, 2025 4 min read
Clinical Briefs Re-treating Failing Composite Restorations on Maxillary Lateral Incisors By Matthew Burton, DDS Injection molding technique facilitates conservative and efficient restoration of proportion and contour September 01, 2025 6 min read
Peer to Peer CAD | CAM Materials A Lifelike Zirconia Material for CAD/CAM Workflows By Daniel Vasquez, DDS Daniel Vasquez, DDS, on Aidite’s 3D Pro zir® Ultra September 01, 2025 3 min read
Peer to Peer Implantology Beyond the Crown: Why the Right Abutment Matters By Terry Y. Lin, DDS, MS, Terry Y. Lin, DDS, MS, on Creodent’s Solidex® Custom Abutments September 01, 2025 3 min read