When restoring teeth in the maxillary anterior region, achieving excellent esthetics is essential to success. Using polychromatic layering techniques to place composite restorations produces highly esthetic results but is technique-sensitive and time-consuming. In cases in which conservative—as well as efficient and cost-effective—treatment is desired, placing monochromatic composite restorations using the injection molding technique can offer a highly esthetic alternative.
Case Report
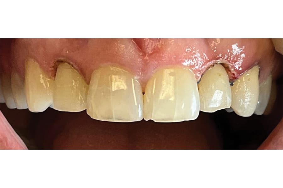
A healthy 56-year-old female patient presented with marginal failures on old composite restorations on teeth Nos. 7 and 10. In addition, tooth No. 10 exhibited secondary occlusal trauma (Figure 1). Prior to the initiation of restorative treatment, the patient underwent clear aligner therapy (Invisalign®, Align Technology) for 6 months to reduce the depth of her bite, balance the occlusion to eliminate secondary occlusal trauma issues, and expand the upper arch to further broaden the smile (Figure 2). With an overall goal of providing conservative treatment that resulted in enhanced esthetics, the decision was made to do a digital wax-up that would be replicated with the injection molding technique (Figure 2).

The Clean Desensitizer Solution!
Treatment Planning
When performing injection molding, composite material selection is key. Oftentimes, injection molding procedures are performed using flowable composites because they can be easier to manipulate into the molds. However, flowable composites can chip and suffer marginal degradation more easily. The primary challenges in utilizing a packable composite are the increased viscosity of the material and the increased size of the delivery tip. To accommodate, a larger injection hole is created that can accommodate the larger diameter tip. Although it is common to see injection holes placed on molds at the incisal edge of the incisors, this positioning can result in air being trapped at the gingival margin because the material must travel a great distance to fill in the gingival portion. It may be more advantageous to place the hole on the facial aspect. This helps alleviate air trapping and voids at the gingival margin and enables an even flow of the material. To further enhance the flow of packable composites for the injection molding technique, they can be warmed with a composite heater.
The use of a modern digital wax-up facilitates quick and accurate simulation of many different models and procedures. In this case, software was used to model a 1.5-mm gingivectomy for teeth Nos. 7 and 10. Following the virtual gingival reduction, a corresponding gingivectomy guide was designed and 3D printed (Figure 3). This 3D printed gingival reduction guide, which contains windows to precisely guide tissue removal, is placed directly in the patient’s mouth, creating a direct transfer of the digital model to the patient.
After the gingival reduction was digitally planned, the maxillary lateral incisors were digitally waxed to create proper proportion and contour (Figure 4). The incisal edges were intentionally designed to be slightly longer than they should be on the digital wax-up to permit easier adjustment. It is much easier to remove incisal length than it is to add it on. Following completion of the digital model, an STL file was output and used to create a 3D printed model, which was then used to fabricate the clear silicone injection mold (Futar® Clear Fast, Kettenbach LP) in-house (Figure 5).
Gingivectomy and Restoration
On the day of treatment, the patient was anesthetized utilizing buccal infiltration for teeth Nos. 6 through 11. Gross removal of the failing composite restorations on teeth Nos. 7 and 10 was performed with a coarse grit diamond flame bur. To remove the finer material remaining in the interproximal areas, a No. 12 scalpel blade was used. This careful removal process minimized the potential for damage to the adjacent teeth.
After the failing restorations were removed, the gingival reduction guide was placed, and the guided gingivectomy was completed with a diode laser (Figure 6). Soft-tissue diode lasers achieve exceptional hemostasis, which permits same-day direct composite placement. Prior to beginning the gingivectomy, No. 00 retraction cord was placed. This simple step helps prevent invasion of the biologic width during the procedure. If the cord becomes visible during the procedure, the clinician should avoid traveling any further gingivally.
Upon completion of the gingivectomy, polytetrafluoroethylene tape was placed on teeth Nos. 6, 8, 9, and 11 to prevent adjacent tooth bonding. Teeth Nos 7 and 10 were then fully etched with 35% phosphoric acid for 30 seconds and then dried. Next, a universal adhesive (Scotchbond™, 3M) was placed on all of their surfaces. In injection molding procedures, it is important to etch and bond the entire tooth because the finish line can be unpredictable. This helps to improve marginal integrity and minimize marginal staining.
Following preparation, the injection mold was placed intraorally, and a highly esthetic supra-nano composite (Estelite Omega® [shade DA2], Tokuyama Dental) was slowly injected. The appropriate shade was determined by placing small amounts of material on the adjacent teeth and curing it prior to the procedure. If clinicians want to achieve polychromatic effects in these cases, it is necessary to utilize tints prior to placing the injection mold. Because the teeth restored in this case were non-adjacent, both were able to be injected at the same time using the same mold. The material was cured from both the lingual and facial aspects for 30 seconds each, then the silicone mold was removed.
Conclusion
Freehand placement of restorations is time-consuming and subjective. In direct anterior procedures, the biggest disadvantage for dentists is the time required. Therefore, finding methods and materials that minimize time yet produce excellent results is a key factor in achieving patient and provider satisfaction. A major advantage of the digitally guided injection molding technique is that all of the tooth contours and features are baked into the design of the injection mold. This minimizes post-polymerization finishing requirements (Figure 7). When minimal tooth reduction and high-demand esthetics are required, the digitally guided injection molding technique should be considered (Figure 8).
Matthew Burton, DDS
Private Practice
Frankfort, Illinois
Manufacturer Information Tokuyama Dental America • tokuyama-us.com • 877-378-3548