Repairing a Composite Restoration With Failing Margins
Perimeter preparation and flowable bioactive nanohybrid composite deliver conservative result
Composite restorations play a crucial role in general dentistry, with many procedures being performed on a daily basis. Advances in adhesive materials and minimally invasive techniques have enabled the placement of restorations that are both durable and conservative. Nonetheless, even well-placed composite restorations can develop marginal failure over time, particularly at the junction between the natural tooth structure and the resin.
Before adhesive dentistry, if the margins of an amalgam restoration were failing, it often necessitated total restoration replacement. Bacteria and saliva could more easily infiltrate under the amalgam, leading to decay and deterioration. Modern adhesive technology has significantly mitigated these issues. Even if the margins of a composite restoration are compromised, a seal may be maintained that protects the majority of the restoration against bacteria. In these situations, timely attention to marginal deterioration is still key because neglect can result in further breakdown and secondary caries. Some clinicians prefer to completely replace all failing composite restorations. However, when indicated, research has shown that repairing composite restorations with failing margins can offer a more conservative and efficient approach to treatment, particularly when certain strategies are employed to improve the bond between the new and aging composite, including surface treatments such as air abrasion and etching with phosphoric acid.1 This article presents a technique for preparing the perimeter of a composite restoration with failing margins in order to save the original restoration before it requires more extensive treatment.
Case Example
A patient presented with a failing distal-occlusal composite restoration on tooth No. 12 (Figure 1). In the initial assessment, it was noted that the occlusal margins demonstrated breakdown. A radiographic examination was performed to ensure that there was no evidence of decay beyond the surface. With radiographic confirmation that the decay was limited to the surface, the decision was made to repair the restoration rather than replace it.
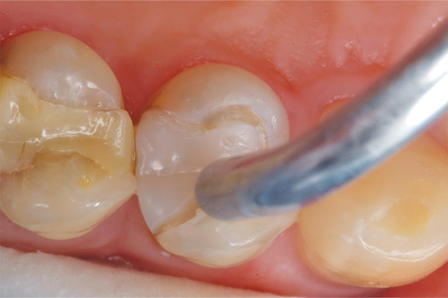
The effective repair of defective composite margins requires specialized tools and specialized materials. To begin, a high-speed, carbide bur with a very narrow width and a tapered shape designed to conservatively access pits and fissures (Fissurotomy®, SS White) was used to remove all of the decay and questionable tooth material from the perimeter of the restoration (Figure 2). This minimally invasive bur was selected because its 2.5-mm head delivers precise cuts to just beneath the dentinoenamel junction and no further. In addition, its tapered shape results in the cutting tip encountering very few dentinal tubules and helps reduce heat buildup and vibration—enhancing patient comfort and minimizing anesthesia requirements.
After the perimeter preparation was complete, it was inspected for any remaining decay. Microabrasion was then performed on the preparation to increase the bondability of the old composite surfaces (Figure 3).1 With the preparation complete, an adhesive (BeautiBond®, Shofu) was applied, thoroughly air-dried, and light cured for 3 to 5 seconds with a LED curing light (Figure 4 through Figure 6). This adhesive was selected for its one-step, self-etch formula, which simplifies bonding procedures by eliminating the need for multiple systems. It features dual-adhesive monomers that deliver predictable, strong, and reliable bonds to both enamel and dentin, and with its extremely low film thickness of less than 5 µm, it helps eliminate marginal stain lines.
Next, a flowable bioactive nano-hybrid composite (Beautifil® Flow Plus X, Shofu) was placed into the perimeter preparation (Figure 7). It flowed seamlessly into the irregular perimeter, adapting to its complex shape without trapping air bubbles or leaving gaps. This composite was selected for its high strength, resistance to wear, excellent esthetics, and radiopacity. In addition, it features Giomer Technology, which provides healthful benefits by releasing and recharging six beneficial ions, including fluoride. These ions have been clinically proven to inhibit plaque, neutralize acid, and prevent secondary decay.2 Research has shown that Giomer Technology promotes dentin remineralization at the preparation surface adjacent to the restorative.3 Giomer restoratives absorb extra fluoride ions from fluoride-containing products like toothpaste, acting as a reservoir when fluoride is needed in the oral cavity.4,5 Furthermore, Giomer restoratives resist plaque formation due to a film that forms on the surface upon contact with saliva, which inhibits bacterial adhesion.6 All of these characteristics made the selected composite an ideal restorative material for this case. Once the composite was placed, it was light cured per the manufacturer’s instructions.
To complete the restoration, a one-step composite finisher and polisher (OneGloss® PS, Shofu) was used to accomplish quick finishing and polishing. When used on a slow-speed handpiece with water spray, applying firmer pressure facilitated the removal of excess composite, and applying softer pressure polished the surface to a smooth, satin finish.
Conclusion
The completed repaired restoration will serve the patient effectively for many years (Figure 8). The perimeter preparation approach used in this case exemplifies proactive intervention in modern dentistry. With the right tools, materials, and techniques, clinicians can address marginal failures early, sparing patients from the need for more extensive treatments. This method provides a straightforward, predictable, and comfortable option for both patients and dentists alike.
References
1. Furtado MD, Immich F, de Oliveira da Rosa WL, et al. Repair of aged restorations made in direct resin composite – A systematic review. Int J Adhes Adhes. 2023;124:103367.
2. Gordan VV, Mondragon E, Watson RE, et al. A clinical evaluation of a self-etching primer and a giomer restorative material: results at eight years. J Am Dent Assoc. 2007;138(5):621-627.
3. Miyauchi T, et al. The effect of Giomer restorative materials on demineralized dentin. J Dent Res. 2010;89(Spec Iss A):Abstract 135006.
4. Dhull KS, Nandlal B. Comparative evaluation of fluoride release from PRG-composites and compomer on application of topical fluoride. J Indian Soc Pedod Prev Dent. 2009;27(1):27-32.
5. Okuyama K, Murata Y, Pereira PN, et al. Fluoride release and uptake by various dental materials after fluoride application. Am J Dent. 2006:19(2):123-127.
6. Shimazu Honda T, Yamamoto K, et al. Study on the film substance produced from S-PRG filler. JJ Conserv Dent. 2002;45(Autumn):42.
Shofu Dental Corporation
shofu.com
800-827-4638