For Navneet Arora, DDS, MPH, the integration of advanced technology into clinical practice is all about creating workflows that allow clinicians to deliver predictable, patient-centered care with greater efficiency. Dr. Arora earned his BDS in India, his MPH from Loma Linda University, and completed periodontal training at the University of Rochester. Today, he maintains two practices in Northern California focused on periodontics and implant dentistry. He divides his time between treating patients, working with emerging digital technologies, and teaching clinicians about implant dentistry and digital workflows.
“I’m a full-time clinician,” he explains, noting that his professional interests naturally converged around digital tools and implant therapy. “One of the things that I take a lot of pride in is trying to understand how I can make different aspects of digital work together and then make it into a workflow that I can use in my practice on a day-to-day basis.” Through his collaboration with Nobel Biocare, he also lectures and teaches courses for clinicians interested in incorporating these technologies into their practices.
Underlying this focus on innovation is a straightforward philosophy about patient care. “I want to treat a patient the way I want to be treated myself if I was a patient,” Dr. Arora says. This perspective is particularly relevant in cases involving the anterior dentition, where both functional and esthetic concerns are heightened. For patients who present with a missing or fractured front tooth, he believes the treatment experience should minimize inconvenience while maintaining optimal conditions for healing and long-term outcomes.
Dr. Arora also prioritizes a cohesive team environment and ongoing training, so staff members remain engaged with new technologies. “If your practice is cohesive, if your staff is on point, and you are all learning together and doing things together, it works,” he says. That positive culture, he adds, is noticeable to patients. “Patients can feel the positive energy, and that usually helps in giving them better treatment,” he says.
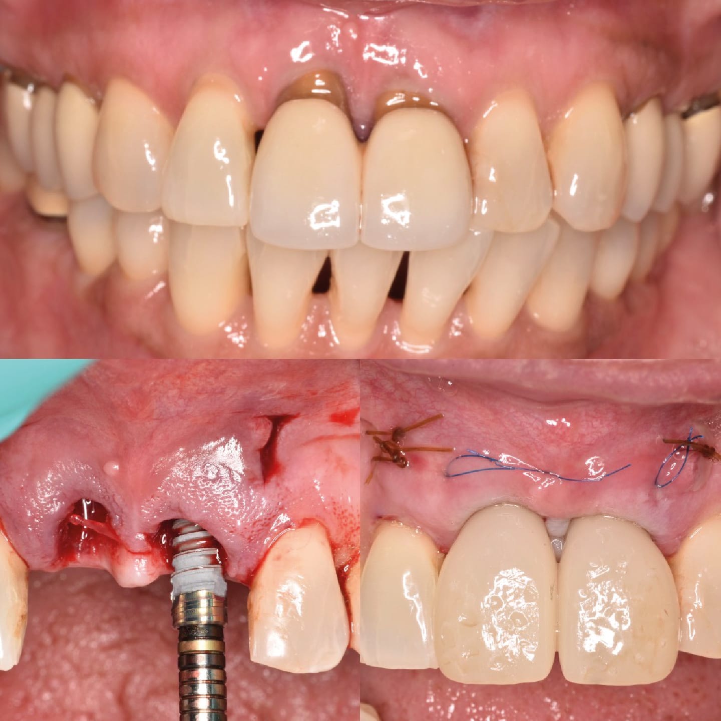
One area in which this philosophy and technology intersect is chairside immediate temporization for implant cases. Traditionally, providing a fixed temporary restoration following implant placement could be time-consuming and technically demanding. “After the placement of an implant, clinicians would make a temporary chairside so that we are using a temporary abutment and building a tooth on it,” Dr. Arora explains. “That would take about an hour, an hour and a half, and that would need some major restorative skills that most surgeons don’t have.” Alternatively, the patient might be referred to a restorative dentist for temporization, requiring an additional appointment at a different office.
Today, Dr. Arora’s digital workflow allows him to provide a fixed temporary restoration within minutes of implant placement. Central to that process is digital treatment planning using DTX Studio™ Clinic software. At the initial consultation, patient records—including photographs, CBCT scans, facial scans, and intraoral scans—are integrated into the platform to create what he describes as a virtual patient. “You take all these files and with the help of DTX, you make a virtual patient and based on that you decide where exactly you want to place the implant,” he says.
This planning phase is critical because immediate temporization requires adequate primary stability. According to Dr. Arora, achieving approximately 5 mm of implant engagement in natural bone provides the stability necessary to proceed with immediate loading. By planning implant size, position, and prosthetic design in advance, the surgical placement can follow the digital plan precisely. “Because the planning has been done to the teeth, we are able to send all the data files right after the placement to a lab,” he explains.
Implant selection also contributes to predictable outcomes. “The two preferred implants when it comes to anterior placement that we use in our practice are the NobelActive and the N1,” Dr. Arora says. NobelActive’s aggressive thread design supports strong primary stability, while the N1 system enables minimal drilling and preservation of bone during site preparation.
Once the implant has been placed and stability confirmed, the workflow transitions quickly to fabrication of the temporary restoration. A lab modifies the planned crown design and returns a digital file that includes a screw-access channel aligned with the implant position. The restoration is then produced chairside using the SprintRay Midas 3D printer.
“We take that file, we print it with the SprintRay Midas which takes about 10 minutes, and curing and finalizing takes another 10 minutes. We then have a temporary restoration that can be placed in the patient’s mouth,” Dr. Arora says. “We torque the final prosthetic screw to 20 N·cm, and it is pretty much done.” Because the restoration is based on the original digital treatment plan, minimal adjustment is required before placement.
For patients, the advantages are significant. Rather than leaving the office with a removable flipper appliance, they receive a fixed temporary restoration immediately after surgery. “The patient is going home with a fixed temporary, not a removable flipper,” Dr. Arora says.
Dr. Arora credits his long-standing collaboration with Nobel Biocare for supporting innovation in implant workflows. “There is a lot of R&D that goes into using a Nobel Biocare product,” he says. “That helps us to use the right product for the right patient.”
Despite his demanding schedule, Dr. Arora admits he is something of a workaholic but makes time to recharge.
That renewed energy ultimately returns to the operatory, where the integration of digital planning, implant design, and chairside manufacturing allows Dr. Arora to deliver efficient, patient-centered care. By combining advanced technology with a carefully developed workflow and a well-trained team, he has created a system that supports both clinical precision and a more seamless experience for patients undergoing implant therapy.
Key Points
- DTX Studio™ Clinic integrates imaging, diagnostics, and treatment planning into a single digital platform, allowing clinicians to combine CBCT scans, photographs, and intraoral scans to create a comprehensive virtual patient for implant planning.
- SprintRay Midas enables rapid chairside production of temporary restorations using a resin capsule system thatcombines the build platform, tank, and material into a single unit for fast and simplified 3Dprinting workflows.