Hygiene and Prevention Personal Development and Wellbeing Pain Management Dental Hygienists: Leading the Expansion of Clinical Education March 04, 2026 2 min read
Research Systemic Health Considerations Pain Management EGFR Signaling Tied to Oral Cancer Pain and Opioid Tolerance January 29, 2026 5 min read
Pain Management Pain Management The Benefits of Electronic Dental Anesthesia By Graham Garber, DMD, PhD Implementing needle-free anesthesia can improve patient satisfaction and practice efficiency November 01, 2025 10 min read
General Dentistry Pain Management Anesthetics and Anesthesia QuickSleeper5 Intraosseous Anesthesia System Now Available in the United States Following FDA Clearance September 19, 2025 3 min read
Pain Management Anesthetics and Anesthesia Avenacy Launches Its First Lidocaine Hydrochloride Injection, USP in the United States August 27, 2025 2 min read
Pediatric Dentistry Infection Control Pain Management General Dentistry Exploring Pediatric Facial Swelling June 19, 2025 2 min read
General Dentistry Pain Management Restorative Endodontics Infection Control Implantology Oral Surgery Periodontics Prosthodontics Oral Medicine Updated ADA Reference Guide Supports Safe Prescribing in Dentistry May 16, 2025 2 min read
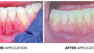
Cover Story General Dentistry Pain Management Innovations Feature Cover Stories Periodontics Endodontics Lasers Seeing the Light By Fred W. Michmershuizen Dentists are implementing lasers to improve outcomes and efficiency May 01, 2025 17 min read
Pain Management Infection Control Periodontics Illuminating Mechanisms Behind Sensitive Teeth May 01, 2025 2 min read
Pain Management Pediatric Dentistry Prevention Innovations Hygiene and Prevention Young Specialties Launches ClearDefense Silver Fluoride for Sensitivity Relief April 01, 2025 3 min read