Jose-Luis Ruiz, DDS
Most general and restorative dentists perform direct Class I and Class II composite restorative procedures several times per day, making these possibly the most common dental procedures, other than prophylaxis. Nevertheless, these treatments are fraught with complications.1-3 Most dentists perceive them to be far more complicated and technique-sensitive than amalgam fillings. Although a composite restoration takes twice as long as an amalgam, compensation is barely higher.
All resin composites demonstrate polymerization shrinkage. Due to the negative consequences of this shrinkage during cavity filling, incremental filling has been recommended. Some experts believe that several increments, with soft-start and ramp curing, are necessary to minimize the effects of polymerization shrinkage;2-4 however, this complicates and lengthens the composite procedure.3
Multiple increments with thick restorative composites are difficult to place and, if not performed carefully, can easily leave voids and gaps in the restoration, with negative consequences.2 More recent studies have suggested that fewer increments and even bulk filling could be equally successful; however, concern about the results or the lack of a suitable bulk fill material has discouraged most clinicians from implementing such techniques.2
Performing a trouble-free direct composite restoration with predictability and in a reasonable time is an indispensable technique that a dentist must have if he or she desires a satisfying and successful practice. This article will present an important time-saving approach, making the filling procedure easier and more predictable, using a new restorative material, Venus® Bulk Fill (Heraeus Kulzer, https://www.heraeus-dental.com). This material allows for easy, void-free bulk filling, minimizing the negative consequences of polymerization shrinkage. This article will also present two cases to exemplify the clinical application and technique.
Traditional Composite Technique
Performing a successful Class I or Class II composite restoration often requires a paradigm shift for most dentists. Every step of this type of restoration is far different from how they would perform an amalgam restoration: new materials mean new challenges. It is important to reevaluate every step, from cavity preparation, matrix selection, isolation, bonding placement and selection, composite placement or filling, and management of polymerization shrinkage.5 This article focuses primarily on the last two important considerations: composite placement and how to deal with polymerization shrinkage.2,6
A problem not typical with conventional amalgam restorations, the propensity of resin-based composites to shrink an average of 3% during polymerization can cause many issues for both dentist and patient.2,6 Restorative material shrinkage creates strain on the bonded tooth surface, which can produce gaps, break the union between the bond and the tooth, and cause unwanted flexing of an entire cusp, all of which can lead to severe postoperative sensitivity or secondary caries.2,6
Because polymerization shrinkage is a problem that cannot be fully eliminated, dentistry has learned to accept it and use techniques to minimize its consequences. One of the most important methods to lessen the effects of shrinkage has been the incremental filling of the composite restorative material. With the assumed benefits of this technique also come some serious disadvantages: more time and complexity. First, the time required to perform several increments during a normal-size cavity filling can be substantial, and slow curing using soft-start or ramp curing, as some experts suggest, could extend the process even more.4 Because the bonding and filling steps are the most crucial, stressful, and dangerous, this increase in time could not come at a more difficult moment during the procedure. During these steps, perfect isolation must be maintained, as well as a matrix band that cannot move at all; however, the patient fidgets, salivates, itches, and moves the tongue constantly. Second, adhering composite to the bonded wall of a preparation without gaps is a most important step and also very challenging. Any gap or void will increase the chances of postoperative pain, secondary caries, or restoration fracture. Every additional increment increases the chance of problems.
Bulk Fill Composites
A trend to decrease the number of increments for direct composite or even bulk fill is evident in the literature. In the recent past, some important improvements to resin-based composites have occurred; several manufacturers have developed lower-shrinkage composites, allowing clinicians to have the option of more confidently and predictably accomplishing bulk fills and controlling shrinkage.7 Consequently, dentists can save themselves and their patients significant chairtime, as well as make the restorative process less stressful and more predictable.7,8
Bulk fill composite materials must possess some important characteristics. First, they must have low polymerization shrinkage stress to decrease microleakage and counter polymerization shrinkage, reducing stress by exhibiting some elasticity.8-10 Second, bulk fill composites should demonstrate an improved depth of cure, at least 4 mm, which is accomplished by being translucent and highly conducive to light transmission. Third, they should be more flowable to allow for easy cavity adaptation, including in cervical margins and existing boxes, and should be easy to dispense with minimal handling.11 Fourth, they need excellent physical characteristics, such as great compressive strength and good wear.
Venus Bulk Fill
Venus Bulk Fill is a new flowable, light-cured, radiopaque nano-hybrid composite for posterior restorations. It can be used with a universal restorative material for Class I, Class II, or Class V restorations. Shrinkage is less of a concern with Venus Bulk Fill because shrinkage stress is only 6%, or 3.5 MPa, after 24 hours (manufacturer’s data). This minimizes postoperative gap formation and marginal leakage, helping to eliminate the risk of secondary caries and postoperative sensitivity.
Because Venus Bulk Fill is very translucent and has excellent light conductivity properties, it can be placed in 4-mm increments. In addition, based on the manufacturer’s internal data, the depth of cure on Venus Bulk is more than 6 mm, deeper than other available materials. It is highly flowable, with excellent adaptability and flow characteristics, enabling the product to adapt to cavity walls with ease. It also uses a well-designed long compule tip, which allows for easy dispensing.
Venus Bulk is compatible with any methacrylate-based restorative material designed for Class I and Class II occlusal restorations, such as Venus Diamond (Heraeus Kulzer). Another quality of this material is its higher resistance to wear in contact areas, along with a superior compressive strength of 331 MPa and high flexural strength of 120 MPa (manufacturer’s data). Venus Bulk Fill is highly radiopaque, therefore restorations are easy to detect on dental radiographs (Figure 1).
Case Report 1
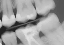
A 42-year-old male was scheduled to have two Class II posterior direct composite restorations on teeth Nos. 18 and 19 after radiographs revealed caries under old restorations (Figure 2). A 1556 carbide bur was used to remove the old restoration and caries, as well as to prepare the cavity. When composite is the restorative material to be used, a traditional G.V. Black geometrical preparation is not necessary, because composite does not require minimum depth, minimum width, or mechanical retention like amalgam does. The key is to fully remove the caries in the most tooth-conserving fashion.
Because the preparation was more than 3 mm deep, a thin layer of resin-modified glass ionomer light-cure liner (Ionoseal, VOCO, https://www.voco.com) was used to protect the pulp. The enamel cavosurface margin was etched with phosphoric acid for 15 seconds and thoroughly washed with air and water. After air drying without desiccating, a self-etch bonding system (iBond®, Heraeus Kulzer) was used for the preparation according to the manufacturer’s instructions. The first layer of bonding agent was placed and agitated for 20 seconds, followed by good air drying for 5 seconds, then light-cured (Figure 3).
The bulk-filling composite (Venus Bulk) was used as the first of only two increments, with attention placed to filling the cavity carefully, with the tip of the compule touching the cavity at the gingival box, gradually filling the cavity, and then slowly withdrawing the tip to avoid trapping air. It is important to note that the first increment of this bulk-filling composite must always stop below the enamel to allow space for the second increment.
Because Venus Bulk is a more flexible material with lower wear strength, it should always be covered with restorative grade composite to ensure good durability.
Therefore, a high wear-resistant composite (Venus Diamond) in shade A2 was placed as the final composite increment, and the occlusal morphology was developed using a set of composite instruments developed by the author (RU Composite Instruments Kit, CK Dental, https://www.ckdental.net). After the morphology was fully developed, a complete cure was performed (Figure 4).
The final morphology and occlusal adjustment were achieved using a bullet-shaped 7406 carbide bur (Dentsply, https://www.denstply.com). Proper occlusal adjustment is a must, as most postoperative problems with this restoration can be traced to occlusal problems.12 A one-step easy polish can be accomplished using a diamond impregnated brush (Occlubrush, Kerr, https://www.kerrdental.com). The patient received follow-up phone calls at 1 day and 1 week postoperatively to evaluate sensitivity and satisfaction. No sensitivity was reported.
Case Report 2
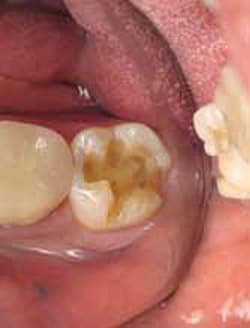
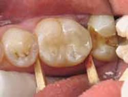
A 55-year-old female in good health with no pain or chief complaint presented to the office. After a thorough examination, it was determined that fractured amalgam restorations required replacement (Figure 5. Following the protocol previously described, the existing amalgams and caries were removed (Figure 6). The remainder of the procedure followed the clinical protocol described in Case Report 1, which included the placement of a matrix band to facilitate composite placement (Figure 7).
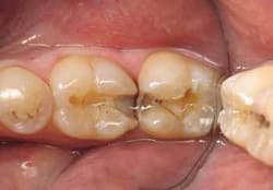
The bulk composite (Venus Bulk) was placed as the first bulk increment, staying below the enamel, and cured (Figure 8). The second and final increment was placed using a restorative composite (Venus Diamond), which was also cured (Figure 9) and appropriately finished (Figure 10.
Conclusion
In the past, the use of resin-based composite materials presented many challenges when compared with conventional amalgam restorations. However, with proper technique and new advances in restorative materials, direct composite restorations can be simpler, more predictable, and efficient. A bulk-fill technique using a resin-based composite bulk fill material with unique characteristics is a significant step forward in minimizing the complications experienced when placing traditional direct composite restorations with multiple increments.
About the Author
Jose-Luis Ruiz, DDS
Director
Los Angeles Institute of Esthetic Dentistry
Los Angeles, California
Private Practice
Los Angeles, California
References
1. Ruiz JL, Mitra S. Using cavity liners with direct posterior composite restorations. Compend Contin Educ Dent. 2006;27(6):347-351.
2. Sarrett DC. Clinical challenges and the relevance of materials testing for posterior composite restorations. Dent Mater. 2005;21(1):9-20.
3. Christensen GJ. Remaining challenges with Class II resin-based composite restorations. J Am Dent Assoc. 2007;138(11):1487-1489.
4. Kanca J 3rd, Suh BI. Pulse activation: reducing resin-based composite contraction stresses at the enamel cavosurface margins. Am J Dent. 1999;12(3):107-112.
5. Sawair FA, Hassoneh Y, Jamleh AO, et al. Observance of proper mercury hygiene practices by Jordanian general dental practitioners. Int J Occup Med Environ Health. 2010;23(1):47-54.
6. Mackenzie L, Shortall AC, Burke FJ. Direct posterior composites: a practical guide. Dent Update. 2009;36(2):71-72, 74-76,79-80 passim.
7. Giachetti L, Scaminaci-Russo D, Bambi C, et al. A review of polymerization shrinkage stress: current techniques for posterior direct resin restorations. J Contemp Dent Pract. 2006;7(4):79-88.
8. Quellet D. Considerations and techniques for multiple bulk-fill direct posterior composites. Compend Contin Educ Dent. 1995;16(12):1212-1226.
9. Lowe RA. The search for a low-shrinkage direct composite. Oral Health Journal. March 2010.
10. Van Ende A, De Munck J, Mine A, et al. Does a low-shrinking composite induce less stress at the adhesive interface? Dent Mater. 2010;26(3):215-222.
11. Idriss S, Habib C, Abduljabbar T, et al. Marginal adaptation of class II resin composite restorations using incremental and bulk placement techniques: an ESEM study. J Oral Rehabil. 2003;30(10):1000-1007.
12. Ruiz JL. Occlusal disease: restorative consequences and patient education. Dent Today. 2007;26(9):90-95.