Howard S. Glazer, DDS
ABSTRACT: The use of adhesive dental procedures has become well established for direct and indirect restorations in anterior and posterior regions, and the involved materials continue to evolve. Despite improvements in materials and techniques, postoperative sensitivity following direct composite restoration still remains a problem, particularly in posterior teeth. As outlined within this presentation, new self-etch adhesives such as BeautiBond, with its favorable adaptation and bond strength, enable practitioners to achieve predictable adhesion and minimize clinicians’ concerns regarding postoperative sensitivity. This ensures a comfortable, aesthetic result for dental patient and practitioner alike.
Key Words: adhesive, bonding, resin, self etch, SE, total etch, TE
Bonding to tooth enamel has been used in dentistry since 1955, when the concept was first introduced by Buonocore.1 More recent developments in dental adhesives and the involved clinical techniques have enabled practitioners to place aesthetic restorations with favorable bond strengths and greater resistance to microleakage (Figure 1).2,3
As explained in Part I of this presentation, the two prevailing techniques in adhesive dentistry today are the total-etch and the self-etch.4In the former, whether performed using a three-step or two-step material [Table], phosphoric acid is used to preferentially etch enamel and dentin prior to the application of a dental primer and adhesive within the prepared cavity design. This etching process removes the smear layer and opens the dentin tubules for the subsequent penetration of adhesive polymers. The latter (ie, SE technique) does not require a separate etching step and, instead of removing the smear layer, conditions and primes the enamel and dentin layers without rinsing. An SE adhesive partially dissolves hydroxyapatite to produce a resin-infiltrated zone with minerals incorporated.5,6 For the majority of practitioners, SE adhesives are regarded as less technique-sensitive than are TE adhesives.
Postoperative Sensitivity and Restorative Imperatives
For years, postoperative sensitivity has been an undesired outcome to the placement of direct resin restorations in Class I through V cavity designs (Figure 2).7-10 The etiology of postoperative sensitivity has been traced to several factors that include bacterial penetration of the pulp,11 occlusal discrepancies, and deformation of the cusps as a byproduct of polymerization shrinkage stresses.5,9,12 Regardless of its origin, one primary treatment objective for today’s clinicians should be the elimination of postoperative sensitivity. This treatment objective is not in lieu of standard restorative guidelines but is rather an extension of these requisites. Among these imperatives are the following:
- The extent of preparation should be dictated by the amount and location of sound tooth structure present, with the clinician taking care to confine tooth reduction to the elimination of carious tooth structures and creating a cavity design sufficient to withstand the demands of the intraoral environment. Whenever possible, preparations should remain in the enamel. The use of surgical loupes or similar magnification may aid in tooth preparation.
- Bevel enamel margins to conceal the margin, whether using the TE or SE procedure. Leaving the enamel margins roughened will enhance bond strength as well.
- The cavity design should feature rounded internal line angles to improve stress distribution upon placement of the restorative materials through a micromechanical adhesive approach.
- Rubber dam isolation is recommended for proper moisture control at the restorative site as well as to prevent bacterial or salivary contamination and to reduce airborne debris.
Postoperative sensitivity causes patient discomfort that often predisposes him or her for re-treatment and additional office time. Consequently, the ability of modern adhesive dental approaches to eliminate this sequellae is a considerable benefit to patient and practitioner alike.
Adhesive Material Advances
While postoperative sensitivity has been observed with early generations of adhesive materials,7-10 subsequent advances in the sixth- and seventh-generation adhesives [Table] have minimized the potential of this occurrence and have enabled practitioners to perform adhesive dentistry for their patients with confidence in the long-term result.
In particular, the seventh-generation adhesive BeautiBond (Shofu, San Marcos, CA) helps to minimize the potential for postoperative sensitivity. Composed of two functional monomers, BeautiBond facilitates a predictable bond to both enamel and dentin substrates.13-15 The phosphonic acid monomer is more stable than phosphoric acid and enhances bonding to enamel, and its carboxylic monomer facilitates a strong, durable bond to the dentin.13-15 This “all-in-one” material is indicated for direct and indirect bonding procedures. Featuring the smallest microhybrid layer (5 µm) currently available in the marketplace, BeautiBond has less potential for microleakage and thus the transfer of heat, cold, and similar stimuli through the dentin tubules to the pulp and nerve of the tooth. When combined with a low-shrinkage composite, the clinician using BeautiBond can decrease postoperative sensitivity, decrease the potential for microleakage, and increase the strength of the composite resin. The result is a restoration with an excellent potential for longevity and pain-free experience for the patient.
Conclusion
It has been suggested that the clinician’s precision in the adhesive procedure has a greater influence on the potential for postoperative sensitivity than does adhesive material selection,5 and the author generally agrees with this finding. Nevertheless, the ability of the latest generation of adhesive materials (eg, BeautBond, Shofu, San Marcos, CA) to eliminate the technical sensitivities associated with wet bon ing can clearly benefit today’s practitioner. Their ease of use, bond strength, and ability to be ter ensure the comfort of the patient make a compelling argument for use in every restorative dentist’s daily armamentarium.
References
1. Buonocore MG. A simple method of increasing the adhesion of acrylic filling materials to enamel surfaces. J Dent Res 1955;34:849-853.
2. Swift EJ, Bayne SC. Shear bond strength of a new one-bottle dentin adhesive. Am J Dent 1997;10:184-188.
3. Finger WJ, Fritz U. Laboratory evaluation of one-component enamel/dentin bonding agents. Am J Dent 1996;9:206-210.
4. Eick JD, Gwinnett AJ, Pashley DH, Robinson SJ. Current concepts on adhesion to dentin. Crit Rev Oral Biol Med 1997;8:306-335.
5. Perdigão J, Geraldeli S, Hodges JS. Total-etch versus self-etch adhesive. Effect on postoperative sensitivity. J Am Dent Assoc 2003;134(12):1621-1629.
6. Perdigão J, Lopes M. Dentin bonding: Questions for the new millennium. J Adhes Dent 1999;1:191–209.
7. Leinfelder KF. Posterior composites. In: Taylor DF, ed. Proceedings of the International Symposium on Posterior Composite Resins. Chapel Hill, N.C.: University of North Carolina Press; 1984:353.
8. Eick JD, Welch FH. Polymerization shrinkage of posterior composite resins and its possible influence on postoperative sensitivity. Quint Int 1986;17:103-111.
9. Christensen G. Preventing postoperative tooth sensitivity in Class I, II, and V restorations. J Am Dent Assoc 2002;133:229-231.
10. Opdam NJ, Feilzer AJ, Roeters JJ, Smale I. Class I occlusal composite resin restorations: in vivo post-operative sensitivity, wall adaptation, and microleakage. Am J Dent 1998;11:229-234.
11. Brännstrom M. Etiology of dentin hypersensitivity. Proc Finn Dent Soc 1992;88(Suppl1):7-13.
12. Pashley DH, Tay FR. Aggressiveness of contemporary self-etching adhesives, part II: Etching effects on unground enamel. Dent Mater 2001;17:430-444.
13. Uno S, Morigami M, Sugizaki J, Yamada T. SEM and TEM observation of the bonding interface created with an experimental one-bottle one-step resin bonding agent. Adhes Dent 2008;26(1):30-35.
14. Kawamoto O, Nagano F, Yasumoto K, Sano H. Micro-tensile bond strength of one two-step self-etching adhesives using Novel thermocycling method. Poster Presentation, 3rd IAD, 2008 Special Issue:126, Abstr P085.
15. Shinno K, Ichizawa K, Nakatsuka T, et al. Bonding ability of resin-bonding systems containing phosphoric acid adhesive monomer. J Dent Res 2008, Abstr#0394.
Figure 1 Illustration of the infiltration of monomers into the dentin tubules during adhesive bonding. | Figure 2 Class V cavity design, one situation where postoperative sensitivity can be alleviated via the use of proper adhesive materials and techniques. | ||||||
| CASE STUDY | |||||||
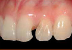
ONE Preoperative view of carious tooth structure that will be repaired with a direct resin procedure. | TWO Conservative tooth preparation completed and readied for application of single-step BeautiBond adhesive. | ||||||
THREE Postoperative view following successful restoration using BeautiBond adhesive and Beautifil II composite resin bonding. | Figure 3 Diagrammatic representation of the composition of a one-bottle self-etch adhesive such as BeautiBond (Shofu Dental Corporation, San Marcos, CA). | ||||||
Table Diagram of Modern TE and SE Approaches | |||||||
| |||||||