James R. Dunn, DDS
ABSTRACT: Adhesive bonding is a multifaceted procedure in restorative and aesthetic dentistry. In each procedure, the goal of the practitioner is to create a lasting bond and favorable marginal adaptation between the restoration and the remaining tooth structure. Recent advances in adhesive technology have expanded the options available to the practitioner selecting a restorative material and bonding agent. This visual gallery presents a clinical case highlighting successful material selection.
“Having served for years as a researcher and now in clinical practice, I find it essential that my adhesive does not create a chalk line around the restorative margins. BeautiBond has a thin film thickness that enables me to address my patients’ most pressing aesthetic concerns and a bond strength I can depend on.”
— James R. Dunn, DDS 
 Private practice, Auburn, CA
Synopsis:
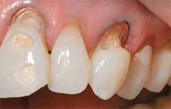
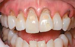
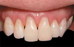
- Severe erosion of the anterior dentition was present upon clinical examination, extending past the enamel into the dentin.
- Direct resin bonding would provide a cost-effective and conservative means of restoring the patient to proper health, function, and aesthetics.
- The adhesive agent (ie, BeautiBond) would be selected based on its ability to facilitate a durable bond to both enamel and dentin as well as prevent microleakage over extended function.
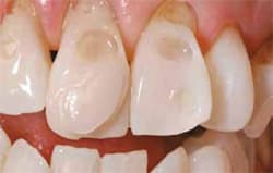
- Restoration using the Beautifil II nano-hybrid composite would provide a natural, aesthetic appearance and a lasting surface polish for the teeth.
| Preoperative smile view of the patient. | Preoperative view of the patient.(View Figure) | ||||||
| Note extent of patient’s cavities.(View Figure) | Note extent of patient’s cavities.(View Figure) | ||||||
| The selected adhesive must bond to both dentin and enamel.(View Figure) | BeautiBond was selected for its bond strength and minimal film thickness.(View Figure) | ||||||
| Isolation of the treatment area.(View Figure) | Composite resin shade selection was performed to achieve the desired result.(View Figure) | ||||||
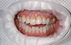
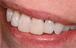
| Final result after bonding with BeautiBond and Beautifil II(View Figure) | In-treatment view of the direct resin restorations performed with BeautiBond and Beautifil II.(View Figure) | ||||||
| Final smile view of the restored anterior dentition.(View Figure) | |||||||
| 
 | |||||||
 
     
                                                             
     
                                                             
     
                                                             
     
                                                             
     
                                                             
     
                                                             
     
                                                             
     
                                                             
     
                                                             
     
                                                             
     
                                                            