Cover Story Feature Stories Diagnosis and Treatment Planning Prosthodontics Materials The Precarious Balance By Daniel Alter, MSc, MDT, CDT November 18, 2024 19 min read
Continuing Education CE Articles Materials Restorative Indirect Classification and Selection Criteria for Dental Ceramics By Siamak Najafi-Abrandabadi, DDS, Yasmin Raslan Ojjeh, BDS August 01, 2020
Restorative Restorative Indirect Materials Conservative Cast Gold Inlays By Kris K. Swanson, DDS August 01, 2020 14 min read
Periodontics Periodontics Occlusion Treating Wear From Bruxism in Autistic Patients August 01, 2020 12 min read
Strategy Practice Management Is Your Marketing Plan Delivering? By Naomi Cooper August 01, 2020 7 min read
Strategy Spotlight Practice Management Long Island Practice’s Growth Continues Despite Challenges August 01, 2020 5 min read
Perspective Prevention Fluoride Toothpaste By Jayakumar Jayaraman, BDS, Kevin J. Donly, DDS August 01, 2020 4 min read
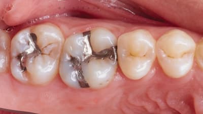
Clinical Briefs Restorative Direct Materials Re-treating Failed Posterior Amalgam Restorations By Oswaldo Adaco, DDS August 01, 2020 5 min read
Peer to Peer A New and Improved Self- Adhesive Resin Cement By Thomas E. Dudney, DMD August 01, 2020 4 min read
Web Exclusive Practice Management Are You Ready for the Big Dip? By Brett Wells, DDS August 01, 2020 8 min read